01. 靶点发现
1949年研究人员首次在酵母中发现乙醛脱氢酶ALDH的催化活性,但人类ALDH基因的明确分类直至1980年代才完成。1988年,日本学者确定ALDH2基因多态性(rs671突变),揭示了东亚人“喝酒脸红”的遗传根源——该突变导致酶活性丧失,全球约5.6亿人携带。在人体内,位于肝脏的ALDH2主要负责将饮酒产生的乙醛氧化成乙酸,以及代谢氧化应激脂质过氧化产生的活性醛类等。ALDH2 rs671是我国人群中最为常见的功能性遗传基因变异位点之一,该位点变异后ALDH2酶活性显著下降,导致喝酒后脸红,还会显著增加心血管疾病风险。

图1. ALDH2 催化乙醇代谢中醛代谢的途径
青云瑞晶已完成ALDH蛋白靶点的蛋白表达和结构解析。基于这些实验条件和库存蛋白,可以将项目的交付时间缩短至1-2个月,并确保项目的成功交付。
*蛋白表达和结构解析结果详见文末!
02. 功能简介
ALDH(尤其是线粒体型ALDH2)将乙醇代谢产生的有毒乙醛氧化为无毒的乙酸,防止乙醛蓄积引发DNA损伤、肝硬化和致癌风险。ALDH同时负责细胞的内源性醛类如脂质过氧化产物4-羟基壬烯醛(4-HNE)的清除,减少活性醛对蛋白质、核酸的毒性修饰,保护细胞免受氧化应激损伤,维持细胞稳态。
除乙醛代谢的核心功能外,ALDH同时拥有生理调节功能。ALDH1A家族催化视黄醛氧化为视黄酸,调控胚胎发育、细胞分化和器官形成,尤其在神经系统和心脏发育中发挥关键作用。ALDH代谢乙醛生成的乙酸也会进入三羧酸循环供能,参与细胞能量代谢。在脂代谢过程中ALDH促进高密度脂蛋白(HDL)介导的胆固醇逆向转运。线粒体中,ALDH2可以保护线粒体膜完整性,维持ATP合成效率,对抗缺血再灌注损伤[1]。在癌症与肿瘤调控领域,ALDH1高活性是乳腺癌、白血病等肿瘤干细胞的标志,与化疗耐药性和复发风险正相关[2]。免疫调节与抗病毒相关研究表明,ALDH1B1通过聚集线粒体蛋白MAVS,增强RIG-I受体介导的抗病毒信号通路,促进干扰素产生,抑制甲型流感、登革热等RNA病毒复制[3]。

图2. 氧化应激导致醛类物质如4-羟基壬烯醛(4-HNE)的积累会促进细胞死亡
03. 结构特征
ALDH家族成员均具有经典的三结构域折叠模式,包含:1.NAD⁺结合域:负责结合辅酶NAD⁺(烟酰胺腺嘌呤二核苷酸),含保守的Rossmann折叠基序。2.催化结构域:核心区域含活性中心,由半胱氨酸、谷氨酸等关键残基构成。3. 寡聚化结构域:介导亚基间相互作用,维持四聚体稳定性。其单体分子量约56 kDa,功能性酶通常以同源四聚体形式存在(如ALDH2、ALDH6A1),形成"风扇状"空间构象。
ALDH家族中线粒体型的ALDH2通常定位于线粒体基质,其结构主要为四聚体,占人体ALDH总活性80%,含跨膜靶向序列。胞质型的ALDH1A1通常定位于细胞质,参与视黄酸合成,其催化结构域含特殊疏水通道。ALDH3A1定位于角膜上皮,兼具晶状体蛋白功能,可以抵抗紫外线氧化损伤。
ALDH的关键催化残基包括:半胱氨酸-302(Cys302),位于催化结构域,作为亲核试剂直接攻击醛基底物的羰基碳,形成硫酯中间体。谷氨酸-268(Glu268),负责激活Cys302的硫醇基团,促进其去质子化,Glu268突变后酶活性完全丧失。部分ALDH(如ALDH1)含锌离子,负责稳定活性中心构象并辅助底物定向。ALDH2的rs671突变为第12号外显子G→A点突变,导致第487位谷氨酸(Glu)突变为赖氨酸(Lys),该突变改变NAD⁺结合口袋的电荷分布,破坏四聚体稳定性导致突变亚基无法正常组装,降低辅酶亲和力100倍以上,酶活性丧失90%以上。2024年清华团队解析ALDH6A1的3.2Å冷冻电镜结构,首次捕捉到NAD⁺结合后的构象变化:催化结构域发生15°旋转,暴露出Cys302活性位点。

图3 人源AHDH2解析结构
04. 靶点药物
目前ALDH靶向药物正从单一解毒功能向疾病修饰治疗跨越。其药物研发主要集中在化学类药物领域,目前ALDH靶点药物类型可分为以下几种:
1. ALDH激活剂:修复突变酶活性
Alda系列化合物(心血管保护)
-
Alda-1:首个小分子变构激活剂,通过填充ALDH2*2突变体(Glu487Lys)的四聚体界面空腔,恢复酶活性70-90%。
-
Alda-341(口服改良型):2025年II期临床显示,急性心梗患者24小时心肌坏死面积减少32%。
Mirivadelgat(肺动脉高压治疗)
-
逸达生物研发的ALDH刺激剂,2025年进入临床II期,通过增强ALDH介导的NO信号通路改善血管重塑。
2. ALDH抑制剂:抗癌与代谢疾病干预
靶向ALDH1A1(克服肿瘤耐药)
-
新型小分子抑制剂:选择性抑制ALDH1A1酶活性,阻断其介导的视黄酸合成与脂滴形成,使KRAS突变癌细胞对靶向药(如Sotorasib)敏感性提升4倍。
-
关键机制:通过降低细胞内pH值,抑制CREB1/GPX4通路,增强铁死亡。
GS-548351(尼古丁依赖)
-
吉利德研发的ALDH抑制剂,因脱靶效应终止临床,提示亚型选择性设计挑战
3. 基因疗法与RNA干预
Lefelsiran sodium(慢性病治疗)
-
siRNA药物(Dicerna/诺和诺德),靶向ALDH mRNA,临床I期用于代谢性疾病,通过肝定向递送降低酶表达。
ARO-INHBE(肥胖治疗)
-
Arrowhead公司RNAi疗法,沉默INHBE基因并间接调控ALDH通路,动物模型中减少脂肪量并改善葡萄糖稳态
目前在研的药物情况统计如下:

实验结果展示
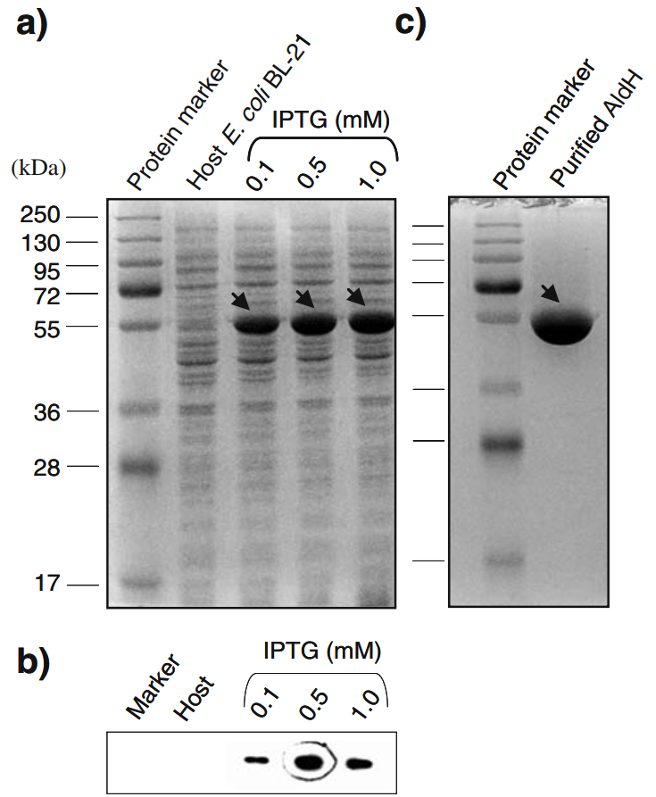
青云瑞晶已完成ALDH蛋白靶点的蛋白表达和结构解析。基于这些实验条件和库存蛋白,可以将项目的交付时间缩短至1-2个月,并确保项目的成功交付。


备注:部分实验结果涉及客户项目信息,不予展示。
▶ 表达纯化结果(周期:现货或者4周)

*客户纯化结果据保密协议无法展示
来源doi: 10.1007/s00253-008-1608-x
▶ 结晶和结构解析(周期:1-2周)




*客户结果据保密协议无法展示,替换为相似分子量自研MALT1蛋白

人源ALDH2结构示意图













